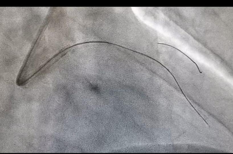
La cardiologia dell’ospedale San Paolo di Bari è tra i primi centri in Italia ad aver impiegato una tecnica innovativa per trattare le occlusioni coronariche croniche totali. La procedura, spiega la Asl Bari in una nota, si avvale di un micro catetere, mai usato finora, grazie al quale è possibile ripristinare il corretto afflusso di sangue al cuore, con un intervento mininvasivo che evita di ricorrere all’unico approccio chirurgico del bypass aorto coronarico o, in alcuni casi, di non poter procedere con la rivascolarizzazione.
La procedura ha curato un uomo di 69 anni affetto da occlusione dell’arteria interventricolare anteriore, la più importante delle coronarie. Ad eseguire l’intervento è stato il dottor David Rutigliano con il supporto dell’equipe medica e infermieristica del laboratorio di Emodinamica del San Paolo.
«La tecnica con il microcatetere - spiega - è una valida alternativa per il paziente che in passato non veniva trattato o poteva essere curato solo con bypass. In mani esperte garantisce buoni risultati, circa il 95% di successo, e con meno rischi periprocedurali».
















