Era arrivata in Pronto Soccorso all'ospedale 'Umberto I' Corato, in provincia di Bari, con dolori addominali e stipsi, ha finito con l’essere operata con urgenza per un raro e voluminoso tumore benigno del colon destro in fase subocclusiva. È stato provvidenziale l’intervento dell’équipe di Chirurgia Generale, diretta da Pasquale Cianci, per risolvere positivamente il caso.
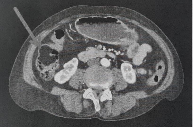
La paziente pensava di essere afflitta da un banale quanto fastidioso mal di pancia. Gli approfondimenti diagnostici eseguiti, infatti, hanno chiarito un quadro clinico complesso e rivelato, grazie ad una Tac all'addome, la subocclusione intestinale dovuta alla presenza di una massa tumorale di oltre 6 centimetri di diametro, sviluppatasi all’interno della parete del colon destro, confermata da una successiva colonscopia. Dopo il completamento delle indagini strumentali e un’attenta valutazione anestesiologica, la paziente è stata sottoposta ad Emicolectomia destra laparoscopica, un intervento chirurgico mini-invasivo per la rimozione del tumore annidato nella parte destra del colon. Il decorso postoperatorio, con dimissione dopo dieci giorni, è stato seguito in stretta collaborazione con il team di cardiologi e internisti del presidio.
"La diagnosi istologica, effettuata presso l’Istituto Oncologico di Bari, è stata di “Lipoma sottomucoso maturo” che, seppur benigno, rappresenta una evenienza non comune", spiega Cianci. "Questi tumori hanno una prevalenza tra lo 0.035% e il 4.4% di tutte le neoplasie benigne non epiteliali del tratto gastrointestinale e, in genere, non causano sintomi se non di grandi dimensioni come nel nostro caso. L’approccio laparoscopico ha sicuramente ridotto i tempi di ripresa, le complicanze postoperatorie e nel complesso la degenza ospedaliera». I numeri della Chirurgia, del resto, confermano la crescita di attività sia in volume sia in qualità dell’assistenza sanitaria. Dal 1° gennaio 2025, infatti, nell’Unità operativa di Chirurgia Generale dell’Ospedale Umberto I di Corato, sono stati effettuati 418 interventi chirurgici, di cui 102 in urgenza e 316 in elezione. Gli interventi con approccio mini-invasivo laparoscopico, con tecniche chirurgiche che utilizzano piccole incisioni per ridurre il trauma, il dolore, il sanguinamento e i tempi di recupero - conclude - sono stati complessivamente 129, il 30,9 per cento del totale".
















