Intervista al dott. Parziale, medico specialista del Centro Radiologico Viterbo di Castellana Grotte.
Dott. Parziale, che cos’è Icobrain e perché oggi se ne parla tanto?
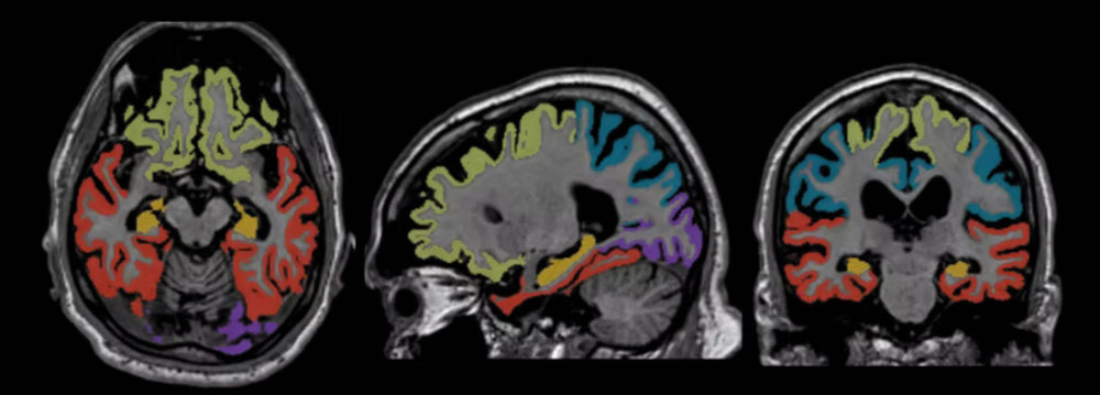
Icobrain è un software medico certificato che utilizza algoritmi avanzati di intelligenza artificiale per analizzare le immagini cerebrali ottenute tramite Risonanza Magnetica e Tomografia Computerizzata. Il suo compito non è sostituire il medico, ma fornire una valutazione quantitativa estremamente precisa del volume del cervello e delle sue principali strutture. Oggi se ne parla molto perché rappresenta uno degli strumenti più innovativi nel supporto alla diagnosi precoce e al monitoraggio di patologie neurodegenerative, come le demenze e la sclerosi multipla.
In che modo l’intelligenza artificiale può aiutare concretamente nella diagnosi delle demenze?
Nel caso delle demenze, la capacità di calcolare con precisione i volumi cerebrali e l’atrofia delle diverse aree del cervello è cruciale. I cambiamenti strutturali legati al deterioramento cognitivo, infatti, possono essere minimi all’inizio e difficili da rilevare a occhio nudo. Icobrain fornisce numeri, percentuali e confronti rispetto a valori normativi della popolazione, rendendo più semplice individuare segni precoci di atrofia e monitorarne l’evoluzione nel tempo.

E per quanto riguarda la sclerosi multipla, quali vantaggi porta ai pazienti?
Per la sclerosi multipla, il software è in grado di quantificare in modo automatico il numero e il volume delle lesioni presenti nel sistema nervoso centrale. Non solo: può misurare la perdita di tessuto cerebrale tra un esame e l’altro, fornendo indicatori molto utili per comprendere la progressione della malattia. Questo aiuta sia il neurologo sia il radiologo a valutare in modo più accurato se la terapia sta funzionando o se è necessario un cambiamento.

Quali sono i principali benefici per il paziente?
I benefici sono diversi:
- Maggiore precisione, perché l’analisi numerica riduce il rischio di sottovalutare o sovrastimare i cambiamenti cerebrali.
- Monitoraggio nel tempo più affidabile, fondamentale soprattutto nelle malattie croniche.
- Diagnosi più tempestive, grazie alla possibilità di individuare alterazioni molto sottili.
- Comunicazione più chiara, perché i dati e i grafici generati dal software aiutano il paziente a comprendere meglio la propria condizione.
Quali sono gli sviluppi futuri che possiamo aspettarci da strumenti come Icobrain?
L’evoluzione dell’intelligenza artificiale nel campo della neuroradiologia è rapidissima. Ci aspettiamo algoritmi sempre più precisi, capaci di riconoscere pattern che oggi ancora sfuggono all’occhio umano.
In futuro potrebbero nascere applicazioni utili anche per altre patologie neurologiche, come l’epilessia, i traumi cranici o le malattie cerebrovascolari. Tuttavia, il punto fermo rimarrà sempre lo stesso: la tecnologia affianca il medico, non lo sostituisce.
















