Cos’è l’elastosonografia e perché è una rivoluzione nella diagnostica?
Negli ultimi anni, l’elastosonografia ha rivoluzionato il mondo della diagnostica per immagini. Si tratta di un’evoluzione dell’ecografia tradizionale che permette di valutare l’elasticità dei tessuti: non solo come appaiono, ma anche quanto sono morbidi o rigidi. «È come se potessimo toccare virtualmente un organo — spiega il dott. Giovanni Ivona — ma senza mai toccarlo davvero, e soprattutto senza alcun fastidio o invasività per il paziente».
Come funziona l’elastosonografia shear wave (SWE)?
La tecnologia più avanzata oggi disponibile è l’elastosonografia shear wave (SWE). «La sonda ecografica — racconta il Dr. Ivona — emette piccoli impulsi ultrasonori che generano micro-vibrazioni nei tessuti. Queste producono onde che si propagano lateralmente, come le increspature create da un sasso lanciato in uno stagno». La velocità con cui si propagano dipende dalla rigidità del tessuto: più l’onda è veloce, più il tessuto è rigido. Il sistema traduce queste informazioni in una mappa colorata sovrapposta all’immagine ecografica, permettendo di individuare immediatamente le aree più rigide o sospette.
Si può dire quindi che si tratta di un esame rapido, sicuro e non invasivo?
L’esame di elastosonografia si esegue come una normale ecografia: il paziente è disteso sul lettino, viene applicato un po’ di gel e la sonda scorre delicatamente sulla cute. «In pochi secondi — spiega il direttore sanitario dello Studio Radiologico Viterbo — otteniamo immagini e mappe di elasticità estremamente precise. Non servono aghi, non si utilizzano mezzi di contrasto e non vengono emesse radiazioni. È un esame completamente non invasivo e ripetibile nel tempo».
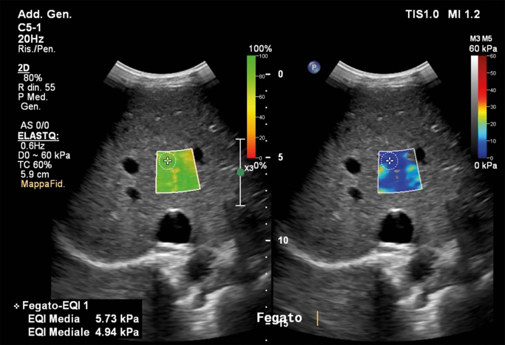
Elastosonografia del fegato: una valida alternativa alla biopsia?

Una delle applicazioni più importanti è la valutazione della fibrosi epatica. Il fegato, in presenza di infiammazioni croniche come le epatiti virali e di steatosi, può sviluppare fibrosi, cioè una sostituzione del tessuto sano con tessuto cicatriziale più rigido. «L’elastosonografia shear wave ci consente di stimare la rigidità del fegato senza ricorrere alla biopsia epatica — spiega il dott. Ivona — offrendo una stima affidabile e ripetibile nel tempo». Questo permette di monitorare l’evoluzione della malattia, valutare l’efficacia delle terapie e individuare precocemente i pazienti a rischio di cirrosi, riducendo l’uso di procedure invasive. L’esame è indicato per chi soffre di epatite cronica B o C, steatosi epatica, epatopatie alcoliche o patologie autoimmuni del fegato.

Elastosonografia tiroidea: caratterizzazione più precisa dei noduli tiroidei?

Un altro campo in cui l’elastosonografia ha cambiato la pratica clinica è lo studio dei noduli tiroidei. «I noduli più rigidi possono essere sospetti e meritano approfondimento, mentre quelli più morbidi sono generalmente benigni. Grazie a questa metodica possiamo selezionare i casi che necessitano di un agoaspirato (FNAB) e monitorare nel tempo eventuali cambiamenti». In questo modo l’elastosonografia tiroidea diventa uno strumento prezioso per ridurre biopsie inutili e migliorare l’accuratezza diagnostica. Un supporto prezioso alla diagnosi quindi, non un suo sostituto. L’elastosonografia non sostituisce la diagnosi istologica, ma la integra con un’informazione aggiuntiva e non invasiva. «Il valore reale — sottolinea Ivona — è nel contesto clinico: il risultato va interpretato alla luce della storia del paziente, degli esami di laboratorio e delle immagini ecografiche tradizionali». Il vantaggio è evidente: migliorare la precisione diagnostica, ridurre i rischi e rendere il percorso di cura più personalizzato.

Il futuro dell’ecografia è quindi già presente a Castellana Grotte?
L’elastosonografia shear wave è oggi disponibile presso lo Studio Radiologico Viterbo di Castellana Grotte, centro accreditato specializzato in diagnostica ecografica avanzata. La struttura offre esami di elastosonografia epatica e tiroidea, con apparecchiature di ultima generazione e refertazione immediata. «La nostra missione — conclude il dott. Ivona — è rendere la prevenzione più accessibile e la diagnosi più affidabile, con tecnologie che migliorano la qualità di vita dei pazienti».
















