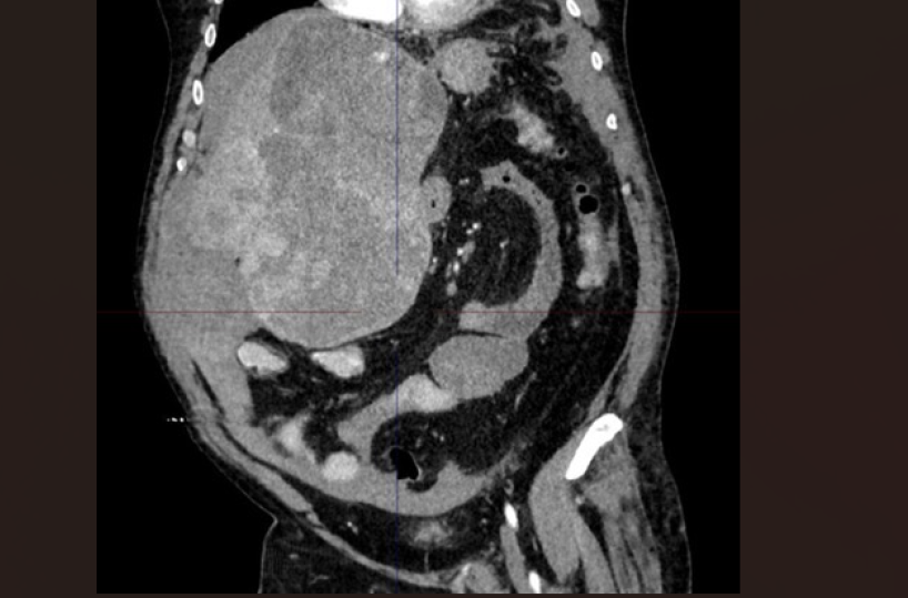
BARI - Chirurgia epatica estrema al Policlinico di Bari per l’asportazione di un tumore di quasi 5 kg e 30 cm di diametro, che occupava più della metà dell’addome in un paziente di 60 anni. Un caso di estrema complessità, giunto in urgenza con un’emorragia epatica in atto, che ha richiesto il coinvolgimento di equipe multidisciplinari per salvare la vita del paziente.
L’uomo è arrivato con un’anemizzazione severa da tumore epatico gigante e sanguinante ed è stato preso in carico dalla chirurgia generale universitaria “V. Bonomo” del Policlinico di Bari, diretta dal Prof. Mario Testini, di turno per le urgenze per il trattamento del caso.
Prima è stato necessario sottoporre il paziente a un trattamento di angioembolizzazione arteriosa per ottenere l’immediato arresto dell’emorragia, l’intervento è stato eseguito dal dott. Mauro D’Addato, dell’equipe dei radiologi interventisti, diretta dal prof. Antonio Stabile Ianora.
Nei giorni successivi, il paziente ha affrontato un’insufficienza renale acuta, trattata con emodialisi e terapia medica, dall’equipe dell’unità operativa di nefrologia diretta dal prof. Loreto Gesualdo, fino al graduale recupero della funzionalità renale, normalizzatasi dopo circa due settimane.
Una volta stabilizzato è stato possibile eseguire l’epatectomia sinistra allargata, intervento chirurgico eseguito dall’equipe del prof. Testini, primo operatore il dottor Panzera con la dott.ssa Arianna Pontrelli, per asportare la grossa massa tumorale e parte del fegato.
Attualmente, l’uomo è stato preso in carico dal prof. Marco Tucci, dell’equipe di oncologia medica diretta dal prof. Camillo Porta, per il proseguimento delle cure oncologiche.
“Il successo di questo intervento conferma il valore della sinergia tra le diverse professionalità e l’elevato livello di specializzazione delle unità operative del Policlinico di Bari, il team multidisciplinare è intervenuto salvando la vita al paziente”, conclude il direttore generale del Policlinico di Bari, Antonio Sanguedolce.
















